症例紹介
Case01 叢生、乱杭歯

叢生、乱杭歯を表側矯正による抜歯矯正をしたケースです。
詳しくはこちら
Case02 開咬

開咬をハーフリンガルでの抜歯矯正をしたケースです。
詳しくはこちら
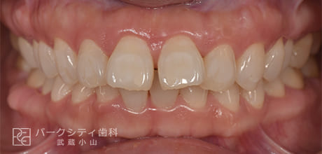
Case03 表側の部分矯正の症例

上下表側に装置をつけ、隙間を閉じながら歯並びを整えて、約4か月で保定へ移行しました。
詳しくはこちら
Case04 インプラント治療
ルートメンブレンテクニック

ルートメンブレンテクニックを併用した前歯部抜歯即時埋入インプラント治療の症例です。
詳しくはこちら
Case05 前歯部を抜歯即時でインプラント治療

前歯部を抜歯即時でインプラント治療をした症例です。
詳しくはこちら
Case06 ラミネートベニア

ラミネートベニアにて修復した症例です。
詳しくはこちら
Case07 ジルコニアクラウンレイヤリングで
修復

上下前歯4本をジルコニアクラウンレイヤリングで修復した症例です。
詳しくはこちら
Case08 ジルコニアクラウンレイヤリングで
修復

前歯4本をジルコニアクラウンレイヤリングで修復した症例です。
詳しくはこちら